Rua Edward Joseph, 122 – Portal do Morumbi, São Paulo – SP, 05709-020

Tratamentos que valorizam o seu sorriso

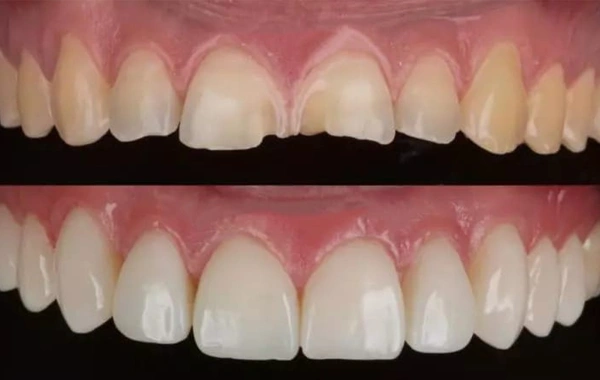
Na Supreme Odontocare, oferecemos soluções personalizadas para transformar seu sorriso com conforto, segurança e resultados duradouros. Conheça todos os tratamentos disponíveis:

Tratamentos Gerais

Tratamentos para Noivas